La polidactilia pediátrica es un trastorno congénito común de la mano y el pie que afecta el desarrollo y la psicología de los niños. Se clasifica en polidactilia postaxial, polidactilia preaxial y polidactilia central. De los tres tipos, la polidactilia central es la más rara, por lo que la literatura médica sobre su manejo es limitada. Ver más…
. En: Casos interesantes. 0 Comentarios
El quiste óseo aneurismático fue descrito como una lesión hemorrágica que contiene cavidades quísticas, de paredes delgadas, llenas de sangre, localmente destructivo y no se considerada una neoplasia verdadera. Este artículo presenta un paciente masculino, con quiste óseo aneurismático en la cadera. Ver más…
. En: Casos interesantes. 0 Comentarios
Las lesiones traumáticas con pérdida de cobertura cutánea de la región del tobillo y pie, constituyen un gran reto para el cirujano ortopédico por la exposición y destrucción de tejidos nobles, difíciles de solucionar por ser una zona que presenta escaso tejido adiposo, múltiples tendones, poco volumen muscular, varias prominencias óseas y piel poco elástica. Ver más…
. En: Casos interesantes. 0 Comentarios
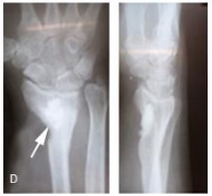
La red médica Medscape propone esta actividad educativa dirigida fundamentalmente a ortopédicos y cirujanos pediatras. Debe registrarse en el sitio web y luego podrá acceder a la presentación del caso con subtítulos en español. Ver más…
. En: Casos interesantes. 2 Comentarios
Hace 14 años este grupo de investigadores publicaron los efectos del tratamiento quirúrgico de la osteomielitis crónica. En este trabajo, se presentan los resultados del seguimiento a los pacientes tratados en aquel momento. 
Hace 14 años este grupo de investigadores publicaron los efectos del tratamiento quirúrgico de la osteomielitis crónica. Actualmente presentan los resultados del seguimiento a los pacientes tratados en aquel momento.
Las heridas por proyectil de arma de fuego en la región craneofacial provocan daños funcionales devastadoras y deformidades estéticas, que se suman al trauma psicológico al momento del regreso a la vida cotidiana de un paciente.
La incidencia de fractura-luxación abierta de tobillo es baja, lo que hace que su combinación con fractura del tercio distal de la tibia sea grave y muy compleja de tratar. Constituye una entidad causada por traumas de alta energía y se asocia a lesiones neurovasculares.
El trauma sigue siendo el escenario más común para el SCA y las fracturas son el principal factor de riesgo individual. La red médica 




















Evaluado y revisado por la red de salud de Cuba. Acreditado con sello Infomed.