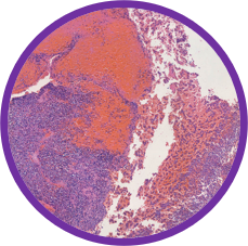
La sección «Caso del Mes» de la Sociedad Española de Anatomía Patológica abre el año 2026 con la presentación del caso de un paciente varón de 71 años que acude al Servicio de Urgencias por odinofagia de 2 semanas de duración, que ha ido empeorando progresivamente, refractaria a tratamiento óptimo. Ampliar…
El virus chikungunya (CHIKV) se distribuye globalmente y se transmite por mosquitos del género Aedes, con una tasa de mortalidad de 0,8/1000 casos. El corazón es el segundo órgano más afectado, seguido del sistema osteoarticular. La afectación cardíaca varía desde síntomas agudos como miocarditis y exacerbación de afecciones preexistentes, hasta complicaciones a largo plazo como la miocardiopatía dilatada. Ampliar…
La sección «Caso del Mes» de la Sociedad Española de Anatomía Patológica presenta el caso de un varón de 70 años que acude a urgencias por empeoramiento en los últimos tres días asociado a desorientación, dificultad para hablar y pérdida de fuerza de hemicuerpo derecho. Ampliar…
En ocasión del Día de la Medicina Latinoamericana reciban nuestras felicitaciones y el más profundo reconocimiento por la entrega, la disciplina profesional y el sentido de responsabilidad con que contribuyen a sostener el Sistema Nacional de Salud. Ampliar…
En: Fechas señaladas
El pasado lunes 24 de noviembre lamentamos el fallecimiento de la querida profesora Nancy Petra Ríos Hidalgo (1950-2025). Nancy nació en Holguín donde realizó sus estudios con resultados destacados hasta graduarse de médico en el año 1974, siendo el primer expediente integral. Ampliar…
El pasado 13 de noviembre de 2025 falleció en esta capital el Dr. José Emilio Fernández-Brito Rodríguez a los 90 años de edad. Nacido el 22 de mayo del 1935 en la Ciudad de La Habana, se graduó de Doctor en Medicina en 1960, Especialista de Primer Grado en Anatomía Patológica en 1965 y especialista de Segundo Grado en 1979. Ampliar…
El 14 de noviembre se cumplen 60 años de la histórica graduación del primer curso de médicos formados íntegramente por la Revolución, en una ceremonia única encabezada por el comandante en jefe Fidel Castro en el Pico Turquino, la mayor elevación de Cuba. Ampliar…









