La sección «Caso del Mes» de la Sociedad Española de Anatomía Patológica presenta el caso de un hombre de 67 años, exfumador, que presenta disnea y astenia, por lo que se le realiza una tomografía computerizada. Se detecta una masa pulmonar subpleural de 23 mm, hipermetabólica en el PET, acompañada de derrame pleural y lesiones sugestivas de metástasis ganglionares y a distancia.
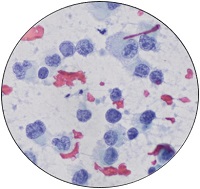
Se realiza una citología del líquido pleural en la que se observna unas extensiones hipercelulares de células sueltas pleomórficas de morfología rabdoide, con núcleo excéntrico y nucleolos marcados. Las técnicas inmunocitoquímicas (ICQ) que resultaron positivas son el CD34 y EMA, de forma aislada, con negatividad para marcadores epiteliales, neuroendocrinos y melanocíticos, entre otros.
Se demostró pérdida de expresión nuclear de SMARCA4 (BRG1) y SMARCA2 (BRM), con retención nuclear de SMARCB1 (INI1). Se confirmó la deleción de SMARCA4 por secuenciación masiva. Aunque la biopsia es considerada el gold-standard para el diagnóstico de esta entidad, la citología resultó ser válida en este caso.
El caso fue presentado por Alexandre Rey López, residente de segundo año del Hospital Clínic de Barcelona, España.
Vea desde aquí el caso completo, las imágenes y compare su diagnóstico.









Haga un comentario